
- BioPharm International-06-01-2011
- Volume 24
- Issue 6
Nontuberculosis Mycobacterium Contamination of a Mammalian Cell Bioreactor Process
The authors present a case study identifying a contaminant.
ABSTRACT
During in vitro adventitious virus screening of a bulk harvest from a mammalian cell biopharmaceutical manufacturing process, the authors obtained results that at first suggested a viral contaminant, but that subsequently were found to represent a contamination with a nontuberculosis mycobacterium (Mycobacterium chelonae or M. abscessus).
Eukaryotic cell processes used in the manufacture of biologics are susceptible to contamination with adventitious agents. These agents include viruses, bacteria, fungi, mycoplasmas, and the so-called infectious proteins, such as transmissible spongiform encephalopathy agents. These entities may be introduced through contaminated raw materials (reagents and cell lines), during cell culture scale-up and fermentation, or during downstream processing. The methods used to conduct safety testing of biologics produced in cell cultures, and a survey of the types of contaminants that have been detected, have been described previously (1). The authors describe contamination of a mammalian cell-based biologic manufacturing process with a nontuberculosis mycobacterium (Mycobacterium chelonae or M. abscessus).
CASE STUDY
A bulk harvest from a mammalian cell bioreactor process was submitted to the authors for evaluation in a 28-day in vitro adventitious virus screening assay as part of an investigation of a bioreactor problem at a biologics manufacturing site. The bioreactor run had been terminated early, because of an abnormally high value for one of the in-process monitoring parameters. Microbial testing of the bioreactor contents, performed at the manufacturing site, had indicated an acceptable level of bioburden. As part of the investigation of the failed bioreactor run, the authors assayed the sample from the terminated bioreactor for potential viral contaminants according to the routine screening assay protocol. Eight days after inoculating the clarified bulk harvest material onto human (MRC–5), African green monkey (Vero), and Chinese hamster ovary (CHO–K1) detector cells, we observed floating clumps of an undetermined nature in the growth medium covering the monolayers. By 14 days post inoculation, the MRC–5 culture was devoid of viable cells. The Vero and CHO–K1 monolayers were intact and fully confluent at this time, though each displayed the floating clumps. Hemadsorption and hemagglutination testing of the various cultures, using chicken, guinea pig, and rhesus monkey erythrocytes, was completed on day 14 with negative results. The authors performed a passage of conditioned medium from each day-14 culture onto fresh cultures of detector cells. Eight days later, the MRC–5 monolayers displayed reduced confluency and abnormal cell morphology, including vacuolization. The Vero and CHO–K1 monolayers remained fully confluent at this time, although each displayed the floating clumps noted above. The hemadsorption and hemagglutination results were again negative. The MRC–5 portion of the study was repeated in its entirety from the beginning, and similar results were obtained.
Conditioned medium samples harvested from the MRC–5 cultures displaying deterioration were filtered (0.45 μm pore size), and the filtrate inoculated onto fresh cultures of MRC–5 cells. When the secondary MRC–5 cultures were observed for 14 days, the authors did not see a reappearance of the floating clumps or the progressive cell deterioration. This procedure was repeated, with similar results being obtained. In contrast, passage of the same conditioned medium samples (albeit without filtration) onto fresh MRC-5 cultures resulted in the reappearance of the floating clumps and progressive cell deterioration within a few days.
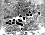
The filtration results described above indicated a microbial, not a viral, origin for the effects noted. The authors subsequently verified this idea through transmission electron microscopic examination of the affected MRC–5 cells, which revealed organisms both within (see Figure 1) and outside of the cells (see Figure 2). These organisms were rod-shaped, with diameters ranging from 0.34 to 0.39 μm and overall lengths of up to 1.1 μm. The organisms were not apparent on visual observation of the MRC–5 cell monolayers, using light microscopy. They were, however, readily observed when the focal plane was raised to that of the medium–air interface. At this level, which is not typically viewed when scoring cell cultures for cytopathic effect, the authors could easily visualize both the floating clumps noted at the monolayer and mats of dark, branching organisms (see Figure 3).
Figure 1: Transmission electron micrograph of an MRCâ5 cell from an infected culture, showing intracellular organisms (B), 36700 x magnification. (ALL FIGURES ARE COURTESY OF THE AUTHORS)
A Sabouraud dextrose agar (SAB) plate streaked with conditioned medium samples from the affected MRC–5 plates and incubated aerobically at 20–25 °C led to white- to cream-colored colonies by day 7. The organism also was isolated using fluid thioglycollate medium incubated aerobically at 30–35 °C. In the latter case, growth was observed by day 7 as particulates that were found in a band about two thirds of the distance to the top of the liquid, and in a band floating at the liquid/air interface. Isolation of the organisms on tryptic soy agar (TSA) plates resulted in white- to cream-colored colonies by day 7 after streaking of conditioned medium samples from the affected MRC–5 plates. These colonies were present both on TSA plates incubated aerobically at 20–25 °C and in plates incubated at 30–35 °C. Gram staining of the organisms revealed a weak, inconsistent positive reaction. The organisms gave a positive reaction, staining as dark red and pink rods, when evaluated using Kinyoun's acid-fast staining procedure. Colonies taken from the TSA plates were submitted to a subcontractor for identification. Using the 16s rRNA gene sequencing method, the isolate was found to be a member of the Mycobacterium fortuitum complex. Differentiation of members of this nontuberculosis complex (M. chelonae, M. abcessus, and M. immunogenum) can be problematic. An assignment of M. chelonae or M. abscessus was obtained, and definitive identification to the species level was not pursued.
Figure 2: Transmission electron micrograph of an MRCâ5 cell from an infected culture, showing extracellular organisms (B), 23600 x magnification.
The authors subsequently evaluated additional retained bioreactor harvest samples that had been collected at various intervals to establish whether the microbe was present in the bioreactor before termination of the run. The earliest bioreactor harvests did not cause MRC–5 cell deterioration, and organisms were not detected in the inoculated detector cell cultures. In contrast, all samples from a point approximately midway through the run onward elicited these effects. The latency of onset of the observed effects in the detector cell cultures correlated generally with bioreactor harvest day, such that the most rapid effects were observed in the samples harvested just before termination of the bioreactor run. Isolation of organisms from the affected studies led, in each case, to identification of the M. chelonae or M. abscessus.
Figure 3: Light micrograph of an infected MRC-5 culture, showing mats of organisms and floating clumps at the plane of the medium/air interface (50 x magnification).
IMPLICATIONS FOR THE INDUSTRY
The nontuberculosis mycobacteria appear to represent a potential risk to the biopharmaceutical industry, due to their propensity for forming biofilms, their ability to proliferate in water under relatively low nutrient conditions, their resistance to typical water disinfection methods, and their relatively slow growth in nutrient media (2–5). The former properties render these organisms capable of existing in water piping and other surfaces in contact with water or aqueous media. Their growth characteristics make these agents easy to overlook, especially when surveillance methods, such as short-term bioburden assays, are employed. In this case study, the bioreactor run was terminated early because of an overly high value for an in-process monitoring parameter. However, routine bioburden testing performed on bulk harvest samples taken from the terminated bioreactor failed to detect the presence of the mycobacterial contaminant. Eventual detection of the contaminant in the course of adventitious virus testing of this bioreactor harvest sample was possible because that assay was relatively long in duration (28 days) and the antibiotics used in the assay (gentamicin, amphotericin B) were apparently ineffective against the species of mycobacterium involved. The route of entry of the mycobacterium into the bioreactor process was not determined.
The mycobacteria involved in this case are pathogenic in humans, especially those who are immunocompromised (6, 7). It is difficult to estimate the frequency of occurrence of mycobacterial contamination in the biologics manufacturing industry, because some episodes may lead to premature bioreactor termination, such as that occurring in this case, with little evidence to implicate a mycobacterium. A few cases of contaminated vaccines and tissue extracts have been reported in the literature (8, 9). One can only speculate about the actual risk to the biopharmaceutical industry of this type of contamination.
At the time the work was performed1, Raymond Nims, PhD*, was a scientific director, Alfred Chun, was a laboratory director, Angela Marino, was a laboratory supervisor, and Suzanne Dieringer-Boyer, was a scientist, all at Biologics Testing at BioReliance, Rockville, MD,
REFERENCES
1. R. Nims et. al., "Adventitious Agents: Concerns and Testing for Biopharmaceuticals," in: Process Validation in Manufacturing of Biopharmaceuticals: Guidelines, Current Practices, and Industrial Case Studies, A.S. Rathore and G. Sofer, Eds., (CRC Press, Boca Raton, FL, 2005), pp. 143–167.
2. C. Le Dantec et al., Appl. Environ. Microbiol. 68 (11), 5318–5325 (2002).
3. L. Hall-Stoodley, C.W. Keevil, and H.M. Lappin-Scott, J. Appl. Microbiol. 85, 60S–69S (1999).
4. L. A. Carson et. al., Appl. Environ. Microbiol. 36 (6), 839–846 (1978).
5. C. Le Dantec et. al., Appl. Environ. Microbiol. 68 (3), 1025–1032 (2002).
6. B.G. Metchock et. al., "Mycobacterium," in: Manual of Clinical Microbiology, Murray, et al., Eds., (ASM Press, 7th ed., 1999) pp. 399–437.
7. W.J. Koh, O.J. Kwon, and K.S. Lee, Korean J. Radiol. 3 (3), 145–157 (2002).
8. J.G.A. Borghans and J.L. Stanford, Am. Rev. Respir. Dis. 107 (1), 1–8 (1973).
9. K. Galil et al., Emerg. Inf. Dis. 5 (5), 681–687 (1999).
1Current Author Affiliations:
Raymond Nims is currently at RMC Pharmaceutical Solutions, Inc., Longmont, CO, Alfred Chun is currently at Cangene bioPharma, Baltimore, MD, and Suzanne Dieringer-Boyer is currently at the National Biodefense Analysis and Countermeasures Center (NBACC), Frederick, MD.
Articles in this issue
over 14 years ago
BioPharm International, June 2011 Issue (PDF)over 14 years ago
Policy and Innovationover 14 years ago
Operational Excellence: More Data or Smarter Approach?over 14 years ago
Single-Use Technologies World Tourover 14 years ago
Better Upstream Technologiesover 14 years ago
Safety Concerns and Shortages Challenge Pharma Manufacturingover 14 years ago
Free Startup Researchover 14 years ago
Top 1000 Biomanufacturing Facilitiesover 14 years ago
Best Practices for Technology TransferNewsletter
Stay at the forefront of biopharmaceutical innovation—subscribe to BioPharm International for expert insights on drug development, manufacturing, compliance, and more.




